Gallery Preview

Discover Moments

Our Gallery

Explore photos from our clinic, showcasing happy smiles, modern facilities, and caring moments. Visit the gallery to see what makes us unique.

View Gallery Learn More About Us

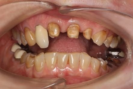
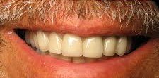
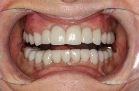
Our Dental Transformations